Correction of upper and lower crowding with the F22 Aligner

University of Ferrara School of Specialisation in Orthodontics

The patient requested an aesthetic orthodontic treatment to align the maxillary incisors. When the patient smiles, the unsightliness of the upper arch is evident, with the central incisors appearing to be rotated and crowded.An analysis of the intraoral photo shows a bilateral Class I molar and canine relationship with an increased overjet and a normal overbite. The dental midlines do not coincide, with the lower midlines, which are deviated towards the patient’s right side. The upper and lower arch present with crowding and with rotation values for some elements exceeding 35°. A treatment with F22® aligners has been planned, which comprises 20 steps, with grip points positioned lingually at the level of elements 2.1, 2.2 and 4.3. Aligner changes were set at 15 days.

Prima

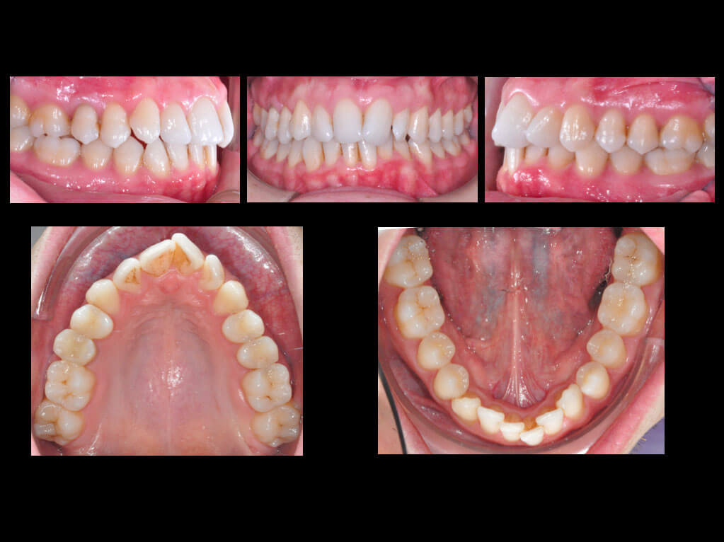
The results after ten months of treatment show that good alignment was achieved at the level of the dental arches, with both molar and canine Class I teeth maintained. The overjet value was normalised, and the rotations resolved.

Dopo

Case of skeletal discrepancy

Patient with severe transverse skeletal discrepancy. The first expansion phase was performed with a MAPA System. The next phase of dental alignment and coordination of the arches was performed with F22 treatment.
Go to the case
Stay aligned